
Reprise des Réunions de l’Association des Pneumologues de la Côte d’Azur (A.P.L.C.A.)
octobre 22, 2024
L’Apport de l’Endoscopie sous Sommeil Induit chez l’Enfant et l’Adulte
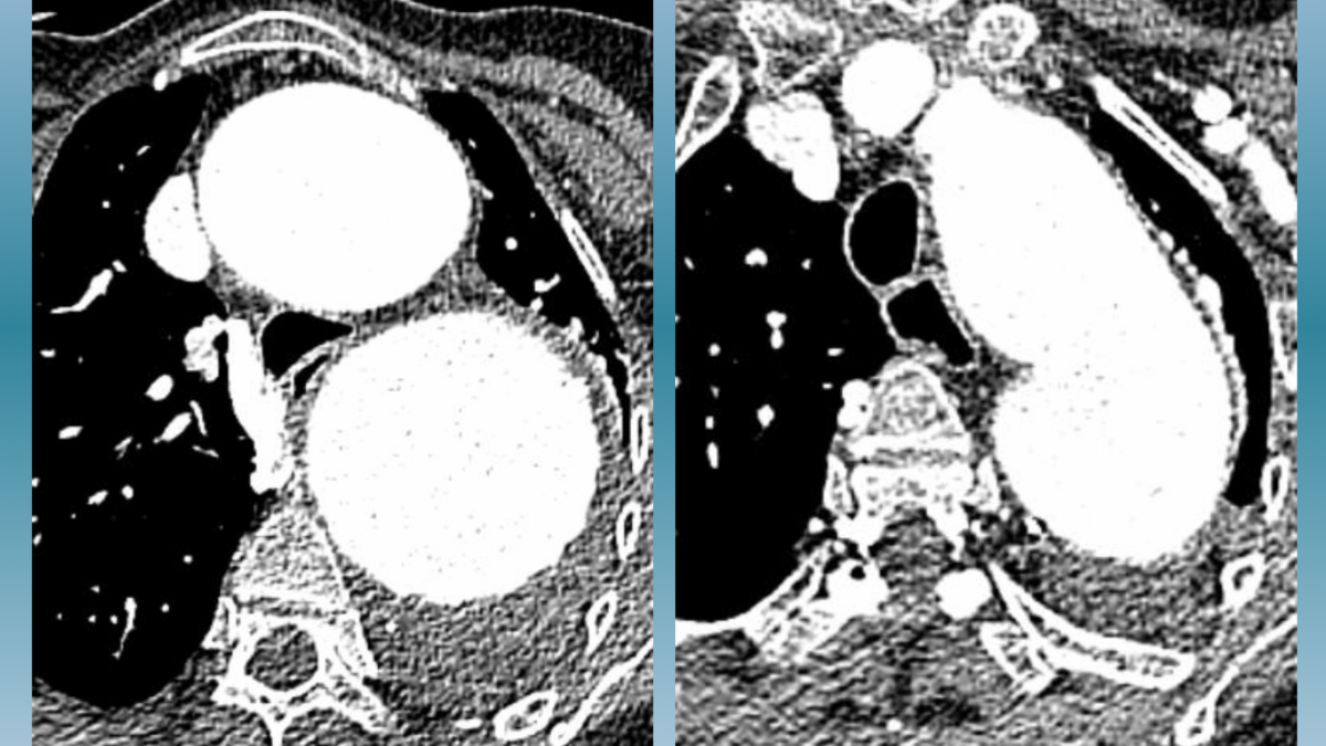
mars 5, 2025Ce cas clinique met en lumière l’aggravation progressive d’une difficulté respiratoire chez un patient fragilisé par des infections respiratoires chroniques, un état de faiblesse générale et la présence d’un important anévrisme de l’aorte thoracique, pour lequel une intervention chirurgicale avait été écartée en 2022. »
anevrisme aorte et compression bronchique


